İran uyruklu yolcunun makatından uyuşturucu çıktı
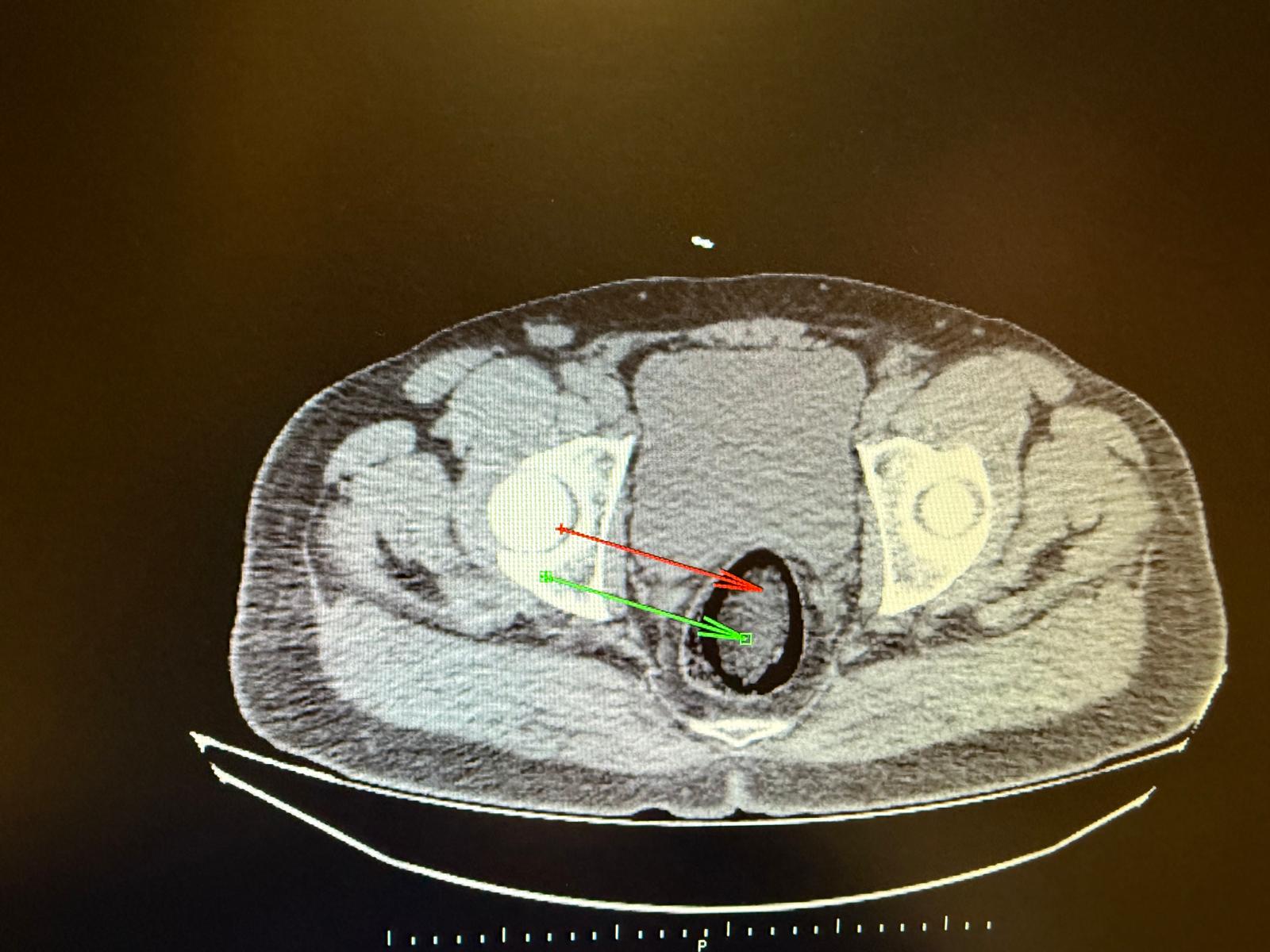
Kars'ta, polisin durdurduğu yolcu otobüsünde hareketinden şüphelenilen İran uyruklu F.H.'nin hastanede çekilen röntgeninde, makatında uyuşturucu tespit edildi. Uyuşturucu cerrahi operasyonla çıkarılırken, şüpheli tutuklandı.
Kars Emniyet Müdürlüğü Narkotik Suçlarla Mücadele Şube Müdürlüğü ekiplerinin, uluslararası uyuşturucu madde ticareti yapan kurye şahıslara yönelik çalışmaları aralıksız sürüyor.
Ekipler, Digor-Kars kara yolundaki uygulamada, yolcu otobüsünde arama yaptı. Polis, hareketlerinden şüphelendiği İran uyruklu F.H.'yi gözaltına aldı.
Kars Harakani Devlet Hastanesi'ne götürülen F.H.'nin çekilen röntgeninde, makatında uyuşturucu tespit edildi. Cerrahi operasyonla makatından 105,98 gram metamfetamin metamfetamin çıkarıldı. Emniyetteki işlemlerinin ardından adliyeye sevk edilen şüpheli, çıkarıldığı hakimlik tarafından tutuklandı.




Kaynak:Kader Yurdagül
Türkçe karakter kullanılmayan ve büyük harflerle yazılmış yorumlar onaylanmamaktadır.